개인정보취급방침

유플란트치과의원 웹사이트 개인정보취급방침

유플란트치과의원은 귀하의 개인정보 보호를 매우 중요시하며,
개인정보 보호방침을 통하여 귀하께서 제공하시는 개인정보가 어떠한 용도와 방식으로 이용되고 있으며 개인정보 보호를 위해 어떠한 조치가 취해지고 있는지 알려드립니다.


개인정보의 수집목적 및 이용목적

병원은 다음과 같은 목적을 위하여 개인정보를 수집하고 있습니다.

단, 이용자의 기본적 인권 침해의 우려가 있는 민감한 개인정보는 수집하지 않습니다. 병원은 상기 범위내에서 보다 풍부한 서비스를 제공하기 위해 이용자의 자의에 의한 추가 정보를 수집합니다.


수집하는 개인정보 항목

병원은 온라인 상담 등을 위해 아래와 같은 개인정보를 수집하고 있습니다.

처음 방문하시나요?
내원 환자분들은 전화 예약 부탁드립니다. 감사합니다.
내원환자예약
054.705.2882
내원 환자분들은 전화 예약 부탁드립니다. 감사합니다.
예약 신청이 완료되었습니다.
일정 확인 후에 유선으로 안내 도와드리겠습니다. 감사합니다.
일정 확인 후에 유선으로
안내 도와드리겠습니다. 감사합니다.

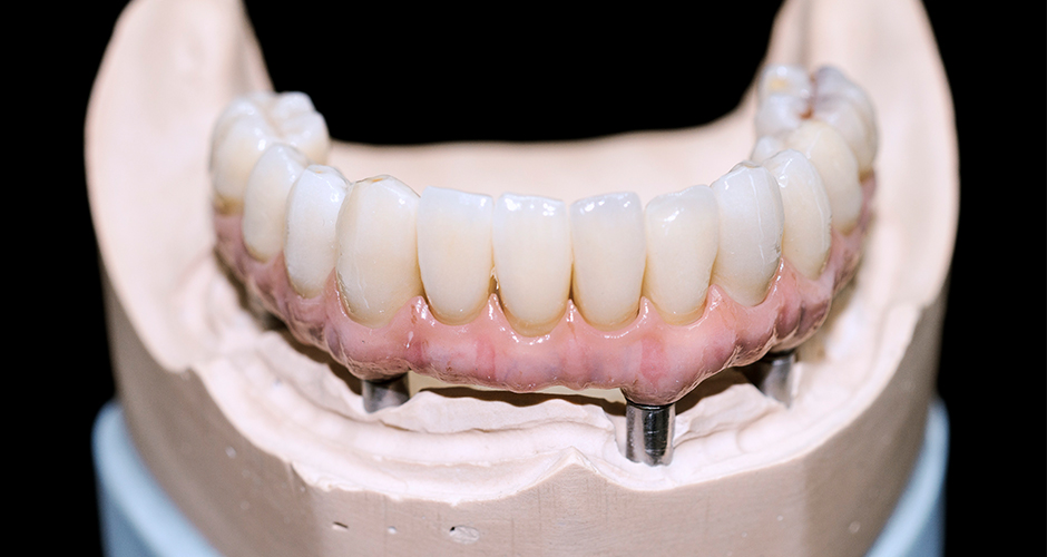
임플란트 틀니

YOUPLANT DENTAL CLINIC

틀니의 단점을 보완하고,
임플란트의 장점을 살린

임플란트 틀니

" 임플란트를 하자니 비용이 부담스럽고
틀니는 불편한데 좋은 방법이 없을까 "

고민하시는 분들을 위한 임플란트 틀니는 적은 수의 임플란트 (2개 ~ 6개)를 심어
똑딱단추를 통해 틀니를 치아에 연결하는 보철치료입니다.


이제 임플란트로 해결하세요

틀니의 불편함
임플란트로 해결

틀니는 시술기간이 짧고 상대적으로 가격이 저렴하다는 장점이 있습니다.
그래서 노년층에서 널리 사용되고 있지만 단점도 분명하지요!
특히 저작력이 약해 단단하고 질긴 음식을 먹기 힘들고 잇몸 통증이 발생하며, 틀니가 빠지는 불편함에 시달리는 분들이 많습니다.
또 일정 주기로 교체해야 하는 불편함도 감수해야 합니다.

이런 경우 최소한의 임플란트만을 식립하고
그 위에 탈부착 가능한 틀니를 결합하는 방법
임플란트틀니가 추천됩니다
임플란트 틀니는 저작력과 유지력이 훨씬 뛰어나며
통증과 흔들림을 해결할 수 있습니다
기존틀니 틀니 임플란트
이미지
시술방법 잇몸 위에
걸칠 수 있도록
틀니 제작
약 2~4개 임플란트 식립 후, 똑딱이 단추 같은 장치에 연결
저작력 자연치아
20% ~ 30%
자연치아의
80~90%
고정력 제대로 고정되지 않아 잘빠지고 헐거움 빠질 염려가 거의 없음
이물감 이물감이 있고, 질기고 단단한 음식 섭취가 어려움 이물감이 거의 없음

비용은 저렴 불편은 감소

임플란트를 하자니 비용이 부담스럽고
틀니는 불편할때는

임플란트 틀니로 해결!

꼭 필요한 양의 임플란트를 정확하게 심은 뒤
바(bar), 자석, 똑딱 단추와 같은 연결 장치를 사용해 틀니를 장착합니다.
이렇게 하면 입 안에서 틀니가 빠지거나 움직일 우려가 줄고,
훨씬 편안해질 것입니다.


이런증상에 시달리셨나요?

이러한 틀니의 단점을 유플란트
임플란트 틀니를 통해 벗어날 수 있습니다
  • 약한
    고정력!

    자꾸 움직이는 틀니
    말하거나 먹을 때
    빠질 우려

  • 불편한
    느낌

    틀니가 움직여 잇몸 및 입천장
    상처와 통증 음식을 먹을 때
    계속되는 어색한 느낌

  • 콤플렉스
    유발

    틀니에 의해
    어색해지는 외모 발음까지
    새어나오는 불편함


임플란트 틀니

이런 분들에게 좋아요

  • 01

    뼈이식을 해야 하는
    부위가 너무
    광범위한 경우

  • 02

    전체 임플란트의
    비용이 부담스러운
    경우

  • 03

    뼈이식을 해야 하는
    부위가 수술하기
    어려운 경우

  • 04

    틀니 사용이
    불편하시거나
    거북하신 분

  • 05

    틀니 사용의 기간이 길어
    일반 틀니 착용이
    불가능한 경우


임플란트 틀니의 장점

  • 1

    잇몸에 고정되어
    흔들리지 않음
  • 2

    통증과 상처 없이
    편안한 착용감
  • 3

    튼튼한 저작력으로
    되찾는 씹는 즐거움
  • 4

    자연스러운 모양과 색,
    발음까지 개선
월 / 수 / 금
09:30 ~ 18:30

화 / 목
09:30 ~ 20:00 ( 야간 진료 )

토 요 일
09:30 ~ 14:00
( 점심 진료 )
경상북도 경주시 화랑로 133 지하 1층, 2층, 3층

빠른 상담

궁금하신 사항을 아래 문의 내용에 입력해주시면
보다 빠르게 전화로 상담을 도와드립니다

이름
연락처
문의내용

빠른 상담신청

[보기]