유플란트치과의원은 귀하의 개인정보 보호를 매우 중요시하며,
개인정보 보호방침을 통하여 귀하께서 제공하시는 개인정보가 어떠한 용도와 방식으로 이용되고 있으며 개인정보 보호를 위해 어떠한 조치가 취해지고 있는지 알려드립니다.
병원은 다음과 같은 목적을 위하여 개인정보를 수집하고 있습니다.
단, 이용자의 기본적 인권 침해의 우려가 있는 민감한 개인정보는 수집하지 않습니다. 병원은 상기 범위내에서 보다 풍부한 서비스를 제공하기 위해 이용자의 자의에 의한 추가 정보를 수집합니다.
병원은 온라인 상담 등을 위해 아래와 같은 개인정보를 수집하고 있습니다.
YOUPLANT DENTAL CLINIC
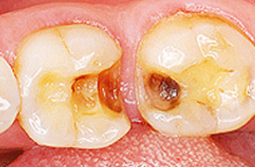
치아에서 썩은 부위를 제거한 후,
금이나 레진 또는 세라믹으로 손실된 부분의 치아 원형과 똑같은 모양을 만듭니다.
그 후 접착제로 붙여 넣어 기능과 형태를 회복시켜 주는 치료를 말합니다.
특히 충치 치료시 떼우는 치료법으로 많이 사용합니다.
옆의 치아와
닿은 부위가
썩은 경우
치아의
썩은 부위가
넓은 경우
교합하는 치아 중
하중을 많이 받는
부위가
손상된
경우
기존 레진충전의 단점을 보완하여 심미성과 강도를 높인 방법으로
갈아낸 부위를 정교하게 다듬어 본을 뜬 후
썩어서 없어진 부위를 정확하게 제작하여 치아에 붙입니다.
주로 어금니의 충치 부위가 크고 심미적인 치료를 원할 때 사용합니다.
자연치아와 같은 색조 재연이 가능하여
아름답고 자연스럽게 치료를 마무리 할 수 있습니다

BEFORE

AFTER

BEFORE

AFTER

BEFORE

AFTER
충치 부위가 넓거나 힘이 강한 어금니 부위에는
충분한 강도를 가지고 있는 금으로 수복하게 됩니다
인체에
무해
항상 수분있는
입안에서도
부식되지 않음
강도와 경도가
자연치아와
유사함
금의 특성상 색깔 때문에 눈에 띄는 부위에 사용하는 것을 꺼려 하시기도 하지만 뛰어난 물리적 성질 때문에 널리 사용되는 치료법입니다.
| 임플란트 | 포인트 [맞춤+지르 포함] | 65만원 |
|---|---|---|
| 메가젠 [맞춤+지르 포함] | 75만원 | |
| 오스템 BA [맞춤+지르 포함] | 110만원 | |
| 오스템 SOI [맞춤+지르 포함] | 120만원 | |
| 뼈이식 | 기본 | 30~50만원 |
| 상악동(Crestal) | 50만원 | |
| 상악동(Lateral) | 80만원 | |
| 틀니 | 전체/부분 틀니 | 150만원 |
| 크라운 | 지르코니아 전치부 | 60만원 |
| 지르코니아 구치부 | 45만원 | |
| PFM | 40만원 | |
| 인레이 | 세라믹 | 30만원 |
| 레진 | CA | 5만원 |
| 구치부 | 10만원 | |
| 앞니 벌어짐 | 부위당 20만원 | |
| 심미치료 | 라미네이트 | 60만원 |
| 미백 | 50만원 (1주 기준) | |
| 실활치미백 | 30만원 (1주 기준) |
궁금하신 사항을 아래 문의 내용에 입력해주시면
보다 빠르게 전화로 상담을 도와드립니다